Your Oral Surgeon in Elmhurst on Wisdom Teeth

oral surgeon in elmhurst wisdom teeth

Your Guide to Wisdom Teeth and When Removal Is Necessary

Wisdom teeth are the third set of molars that typically emerge in late adolescence or early adulthood. For many people, these teeth cause problems that require professional evaluation and, often, removal. If you’ve been experiencing discomfort in the back of your mouth or your dentist has recommended you see an oral surgeon in Elmhurst, understanding what wisdom teeth are and why they sometimes need to be removed can help you make informed decisions about your care.

 

At Cameo Dental Specialists in Elmhurst, our board-certified oral surgeons have extensive experience with wisdom teeth extraction. We use advanced imaging technology and sedation options to ensure your procedure is as safe and comfortable as possible.

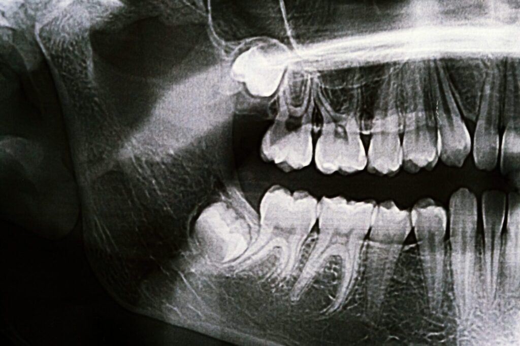
What Are Wisdom Teeth?

Wisdom teeth are the last teeth to develop in your mouth, usually appearing between the ages of 17 and 25. Most people have four wisdom teeth, one in each corner of the mouth. In some cases, individuals may have fewer than four, or none at all.

 

Thousands of years ago, wisdom teeth served an important purpose. Our ancestors ate diets that consisted of raw plants, roots, and meat that required significant chewing power. Extra molars helped grind down tough foods. Today, with softer diets and better oral hygiene, wisdom teeth have become largely unnecessary.

Why Do Wisdom Teeth Often Cause Problems?

The human jaw has evolved to be smaller over time, which means many people don’t have enough space to accommodate wisdom teeth. When there isn’t sufficient room, these teeth can become impacted, meaning they are unable to fully emerge through the gums or grow in at odd angles. Common problems associated with wisdom teeth include:

 

  • Impaction: The tooth is trapped beneath the gum or grows sideways into adjacent teeth.
  • Crowding: Emerging wisdom teeth push against neighboring molars, causing misalignment.
  • Infection: Partially erupted wisdom teeth create pockets where bacteria can accumulate, leading to pain and swelling.
  • Cysts: Fluid-filled sacs can form around impacted teeth, potentially damaging bone and roots.
  • Decay: Because wisdom teeth are so far back in the mouth, they can be difficult to clean properly, increasing the risk of cavities.

Signs You May Need Wisdom Teeth Removal

Not everyone needs their wisdom teeth removed, but certain symptoms indicate it’s time to see a specialist. Watch for:

 

  • Pain or tenderness in the back of the mouth
  • Swelling around the jaw or gums
  • Difficulty opening your mouth
  • Bad breath or an unpleasant taste
  • Red or bleeding gums near the back molars
  • Jaw stiffness or pain when chewing

 

If you’re experiencing any of these symptoms, schedule a consultation with an oral surgeon in Elmhurst. Early evaluation can prevent more serious complications down the line.

When Should Wisdom Teeth Be Removed?

Wisdom teeth removal is often recommended in the following situations:

 

  • Impaction: If the teeth are trapped and unable to emerge properly.
  • Recurrent infections: If you’ve had multiple bouts of pain or swelling in the area.
  • Damage to neighboring teeth: When wisdom teeth push against other molars.
  • Cysts or tumors: Rare but serious complications that require surgical intervention.
  • Preventive removal: Some dentists and oral surgeons recommend removing wisdom teeth before problems arise, especially in younger patients whose bones are still developing and recovery is typically faster.

 

At Cameo Dental Specialists, we use cone beam 3D imaging to assess the position of your wisdom teeth and evaluate their impact on surrounding structures. This advanced technology allows us to plan your procedure with precision.

What to Expect During Wisdom Teeth Removal

The procedure for removing wisdom teeth varies depending on whether they have erupted or are still impacted beneath the gum. Here’s a general overview:

 

  1. Anesthesia: You’ll receive local anesthesia to numb the area. Sedation options, including IV sedation, are also available for patients who feel anxious or are having multiple teeth removed.
  2. Extraction: Your oral surgeon will make an incision in the gum if necessary, remove any bone blocking the tooth, and extract it. In some cases, the tooth may be divided into sections for easier removal.
  3. Stitches: The site may be closed with dissolvable stitches.
  4. Recovery: Most patients recover within a few days to a week. You’ll receive detailed aftercare instructions to minimize discomfort and promote healing.

Why Choose an Oral Surgeon in Elmhurst?

Cameo Dental Specialists offers the expertise of board-certified oral surgeons who specialize in wisdom teeth removal and other surgical procedures. Our Elmhurst location is equipped with the latest technology, and our team is dedicated to making your experience as smooth and stress-free as possible. We also offer sedation dentistry to help patients feel relaxed during their procedure. Whether you’re having one tooth removed or all four, we’re here to provide compassionate, expert care.

Take Control of Your Oral Health

If you’re experiencing discomfort or have been told you need wisdom teeth evaluation, don’t wait. Early intervention can prevent pain, infection, and damage to other teeth. Contact Cameo Dental Specialists in Elmhurst today to schedule your consultation and find out if wisdom teeth removal is right for you.

 

The content on this blog is not intended to be a substitute for professional medical advice, diagnosis, or treatment. Always seek the advice of qualified health providers with questions you may have regarding medical conditions.